Śmierć ajatollaha Rekina

W niedzielę 8 stycznia zmarł ajatollah Akbar Haszemi Rafsandżani – współtwórca Islamskiej Republiki Iranu. Wraz z nim zamknął się pewien rozdział współczesnej historii kraju, ale i otworzył nowy – już bez słynnego „Rekina”.

Czytaj dalej

Zagadka Trumpa

Stało się to, czego obawiali się amerykańscy i irańscy (i w ogóle wszyscy) zwolennicy IranDeal. Wybory w USA wygrał kandydat, który otwarcie mówił, że porozumienie nadaje się do kosza, a Iran należy traktować jak do ubiegłego roku – sankcjami.

Czytaj dalej

Kobieta z żelaza

Pamiętacie brązową medalistkę z Rio, pierwszą irańską medalistkę w historii?

Czytaj dalej

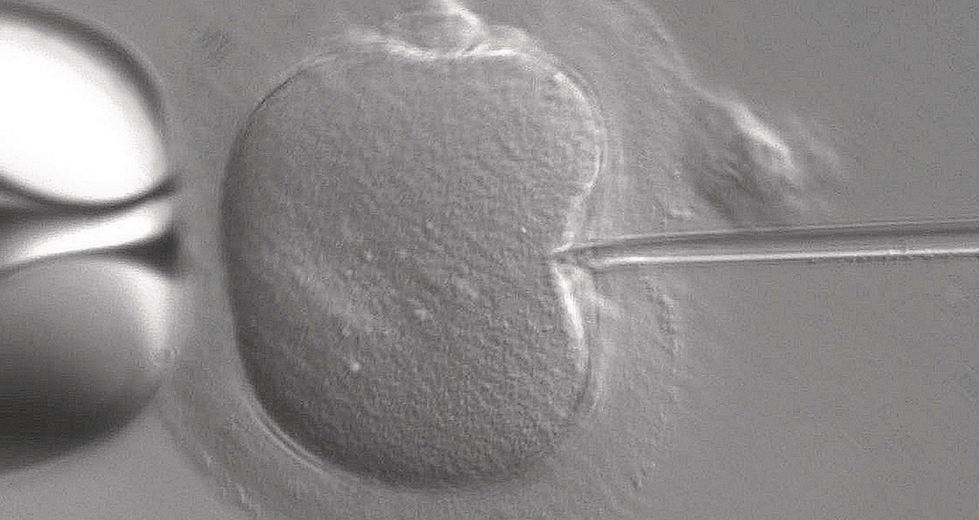
O irańskim in vitro

Iran to kraj paradoksów, o których mało kto poza Iranem słyszał i które na Zachodzie czasem trudno zrozumieć.

Czytaj dalej

Ajatollah Montazeri przemówił zza grobu

To nie musiało być rozstrzelanie. W korytarzach więzienia Evin ustawiano stoły pod rurami biegnącymi pod sufitem, przywiązywano do nich sznury. Gdy wszystko było gotowe, stoły odsuwano. Jeden stół miał wydajność kilku osób.

Czytaj dalej

Zarif w Warszawie. Przede wszystkim gospodarka

Tak w skrócie można określić oczekiwania Warszawy względem „nowego” Iranu. Oczekiwania są duże, przeszkody też niemałe, ale podczas dzisiejszego forum gospodarczego Polska-Iran mówiono oczywiście głównie o tych pierwszych.

Czytaj dalej

Pociski z przesłaniem. Dla Izraela na pewno, dla inwestorów też?

Dwa dni i kilka wystrzelonych pocisków balistycznych to wyraźny znak, że Strażnicy Rewolucji nie zamierzają iść ręka w rękę z rządem ws. deklarowanego ocieplenia z Zachodem.

Czytaj dalej

„Wygodna” kara śmierci dla miliardera

Sława jednego z najbogatszych obywatel zdaje się na nic, gdy w grę wchodzi oszukiwanie państwa, a przynajmniej gdy to państwo tak zadecyduje. Babakowi Zandżaniemu fortuna nie pomogła. Aresztowany ponad dwa lata temu Irańczyk usłyszał wraz z dwiema innymi osobami wyrok śmierci za malwersacje finansowe.

Czytaj dalej

Ajatollah od miliardów nie żyje

Ajatollah Abbas Vaez Tabasi, opiekun sanktuarium imama Rezy, jeden z najbardziej wpływowych ludzi w Iranie, zmarł dziś rano w Maszhadzie.

Czytaj dalej

Głosy policzone. Nowe otwarcie

Wyniki wyborów znamy już niemal wszystkie, pozostaje 34 miejsc do obsadzenia we wtorkowej dogrywce. Efekty wyborów z 26 lutego oczywiście pozostają niewiadomą, choć obóz reformatorsko/centrowy, czyli popierający prezydenta Hasana Rowhaniego, może słusznie mówić o zwycięstwie. Najbliższe miesiące pokażą, czy jedynie symbolicznym.

Czytaj dalej